Reserva acá

+56 981338013

232239586

info@oep.cl

odontologia.provi@gmail.com

     FONO URGENCIA

 

          569 - 81338013   

f

Inicio

 > Acerca de OEP

 > Especialidades

 > Radiografía Digital

Eagle 2D Pan/Tele

 

El Eagle 2D Pan/Tele ofrece todos los exámenes en el perfil panorámico (panorámica estándar, senos maxilares, baja dosis, bitewing, ATM, ortogonalidad perfeccionada, panorámica infantil y bitewing ortogonalidad perfeccionada) y todos los exámenes en el perfil cefalométrico (Posteroanterior, Antero-posterior, 45 Grados, Lateral, Carpal, PA de Walters, Axial Bazal, Hirtz).

 

Usted puede optar por el Eagle 2D Pan/Tele con un sensor móvil para PAN y TELE o dos sensores siendo uno para PAN y otro para TELE.

 

El Eagle 2D Pan permite la actualización a la versión Pan/Tele/3D VBeam con FOV de hasta 23x16.

La línea Eagle ofrece alta calidad de imagen, facilidad de operación, fácil posicionamiento del paciente y reúne lo mejor de la tecnología mundial en todas las funciones. El generador de rayos X de alta frecuencia reduce la exposición innecesaria del paciente. El sistema de microprocesado de alta velocidad y la mecánica precisa permiten la perfecta ejecución y repetición en imágenes 2D y 3D

 

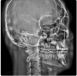
Telerradiografía Lateral

Telerradiografía Antero Posterior

Radiografía Bite Wing

Radiografía Bite Wing

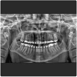
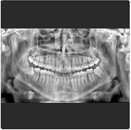
Radiografía Panorámica Digital

Radiografía Panorámica Digital

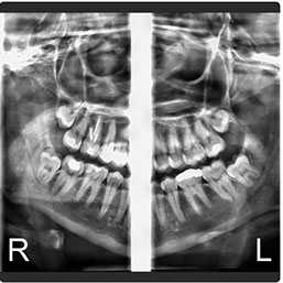
Radiografía Panorámica

Radiografía de senos Paranasales

Telerradiografía Antero Posterior

Telerradiografía Antero Posterior

Solución de Rayos-X Intraorales New IDA

La imagen de la evolución

 

New IDA es el sensor digital intraoral de la linea Eagle Image con soluciones eficientes de las imágenes para un diagnóstico más nítido, preciso y seguro.

 

Los cuidados de la salud bucal han alcanzado un modo más avanzado.

 

Optimice su tiempo, tómese sus radiografías con New Ida en OEP.

 

Telerradiografía Antero Posterior

Telerradiografía Antero Posterior

Radiografía Retroalveolar

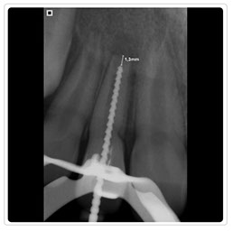
Radiografía Control Endodoncia

Radiografía Intraoral

Radiografía Intraoral

Radiografía Control de Implante

Ventajas New IDA

Comodidad

 

Cubrimos todas las especialidades odontológicas y ofrecemos un amplio horario de disponibilidad para satisfacer tus necesidades

 

Horario

 

Lunes a viernes 09:30 -13:00 / 15:00 - 20:00

Sábados 08:30-14:00

 

Cita inmediata

 

En caso de urgencia nos comprometemos a atenderte el mismo día y, si tu necesidad no es urgente, en un plazo de 24 horas

 

Clínica OEP

Redes Sociales

Dirección

Contacto

Medios de pago

Facebook

Whatsapp

Doctor Manuel Barros Borgoño 71 - ofic 706 - Providencia , Santiago

Teléfono: 2-32239586

Fono+Whatsapp +56981338013

Email:odontologia.provi@gmail.com

             info@oep.cl

Reserva acá

OEP © Odontología Estética Providencia